Menu
New Patients Call
(972) 449-5759
Request Appointment
Our Office
Meet Dr. Grapevine
Meet Our Staff
Our Technology
Testimonials
Video Testimonials
Video Library
Patient Safety
Our Services
General Dentistry
Complete Dentistry
Children’s Dentistry
Dental Cleanings
Dental Fillings
Relaxation Methods
Healthy Dentistry
Cosmetic Dentistry
Lumineers
Porcelain Veneers
Cosmetic Bonding
Teeth Whitening
Invisalign®
Smile Makeover
Restorative Dentistry
Dental Bridges
Dental Crowns
Dentures & Partials
Night Guards
Periodontal Therapy
Implant Dentistry
Benefits of Dental Implants
Dental Implant FAQ
Cost of Dental Implants
Dental Implants vs Dentures
Implant Dentures
Multiple Dental Implants
All-On-Four
Dental Concerns
Black Triangles
Bleeding Gums
Cavities
Cosmetic Concerns
Crooked Teeth
Missing Teeth
Orthodontic Relapse
Gaps Between Teeth
TMJ Therapy
TMJ: Our Story
TMJ Therapy
Teeth Grinding
Frequent Headaches
Bioclear®
Cosmetic Dentistry
Halo Veneers
Lumineers
Porcelain Veneers
Cosmetic Bonding
Teeth Whitening
For Patients
First Visit
Patient Forms
Payment Options
Dental FAQs
Blog
Leave a Review
Smile Gallery
New Patients
(972) 449-5759
Current Patients
(972) 596-3702
Request Appointment
Leave a Review
Home
»
Smile Gallery
»
Before & After
Before & After Photos
All
Porcelain Veneers
Black Triangles
Bioclear
Dental Implants
Dental Bonding
Zoom Teeth Whitening
Dental Crowns
Invisalign
Black triangle closure using Bioclear treatment. No tooth removal, no shots, all in one visit!
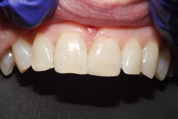
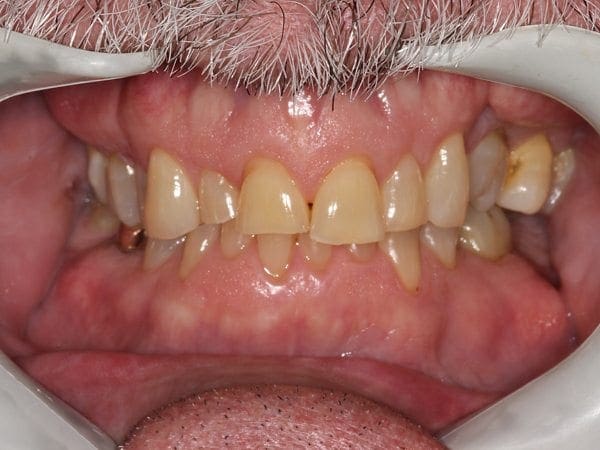
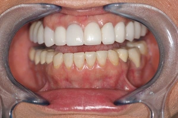
For this patient, Dr. Grapevine did veneers on his upper front 6 teeth.
Bioclear for closing space between teeth and repairing a chipped tooth.
Bioclear for a total smile makeover.
Bioclear to close black triangles between teeth.
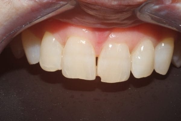
Distema closure.
Composite bonding for single tooth discoloration.
Composite bonding for single tooth discoloration.
Bonding used to correct tooth wear.
Bonding used for bite correction.
Bonding used to fix tooth wear.
Dental bonding used to correct a dark tooth.
Bonding used to correct discoloration in tooth.
Bonding used for a total smile makeover!
Bonding used to repaire chipped edges and wear to the teeth.
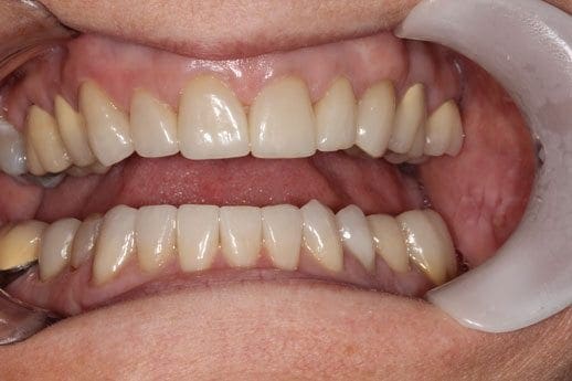
Invisalign helped create a more balanced bite and beautiful smile.
This patient often complained of discomfort in her bite and jaw. Invisalign helped restore her smile.
Invisalign was used to straighten this patient's upper teeth and to create a more comfortable bite.
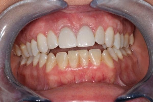
Invisalign was used to straighten this patient's upper and lower teeth for a smile that is easier to clean and keep healthy and looks great.
This patient had old bondings that were broken and discolored as well as existing crowns that did not match in color. We used bonding on the teeth and covered some existing crowns to even out the color of their smile. No anesthetic was used and treatment was completed in just 1 day. This patient is now happy, and confident enough to show it with their beautiful new smile!
Dental bonding to close gaps in teeth.
Cosmetic bonding for a total smile makeover in just 1-2 appointments.
Dental bonding to close the gap in front teeth.
Zoom teeth whitening
Dental veneers used to close gaps and improve smile aesthetics.
Dental Veneers used to restore cosmetic appearance of the upper tooth.
Dental veneers to recontour smile and conceal tooth discoloraiton.
Dental veneer to restore tooth color.
Dental veneers
Dental crowns to conceal tooth discoloration.
Dental crown used to close gap between teeth.
Dental crowns too upper front teeth.
Dental crowns
Dental crowns to repair damaged tooth.
Dental crowns
Dental crowns to repair damaged tooth.
Dental crowns.
Dental crowns
Dental crown and dental implant front tooth.
Dental implant with a dental crown.
Front two teeth dental implants.
Two dental implants with dental crowns.
Dental implant.
Dental bonding bottom teeth.
Dental bonding upper teeth.
Dental bonding on front uppers.
Dental bonding to correct tooth discoloration.