Dr. Jacob Grapevine offers discreet and comfortable solutions for crooked teeth with Invisalign® in Plano, TX. He has been an Invisalign® provider since 2008 and is a leading study club member. The Invisalign study club has a proven track record of over 19 years and over 6,000 successfully completed cases among its doctors.
Dr. Jacob Grapevine has also attended multiple Invisalign® continuing education classes and training throughout his career. Clear aligners are an efficient, comfortable treatment to realign your crooked teeth. This cosmetic dentistry treatment won’t disrupt your professional or social life like traditional metal braces.
Why Should You Fix Orthodontic Problems?
Orthodontic issues are chronic conditions. Your teeth will continue to shift and move if you don’t correct alignment issues. Cosmetic issues are the most obvious concern, but crooked or misaligned teeth can contribute to some health and functional dental risks, such as:
- Difficulty brushing and flossing
- Gingivitis and gum disease
- Receding gum line
- Tooth decay
- Bite problems
- Chipped, worn, or broken teeth
- Worn or abraded tooth enamel
Click Here To Try On Your New Smile
We offer a complimentary Invisalign® consult to discuss your goals. Dr. Grapevine welcomes you to schedule an appointment in our Plano office today.
Depending on the person’s specific condition, the problems can cascade into more complicated bite problems and TMJ-related disorders. Our office has the unique ability to diagnose complicated jaw pain cases and treat TMJ patients with Invisalign®. We can also determine whether sleep apnea contributes to tooth misalignment and use Invisalign as a treatment option. Treating orthodontic issues early on allows for the most conservative treatment options.
Benefits of Clear Aligners
Clear aligners are ideal for patients to straighten their crooked teeth later in life. Many adults believe they’re “too old” for metal braces and fear the stigma and discomfort of wearing them. Clear aligners give patients a way to confidently improve their bite and the appearance of their smile. Other advantages include:
- Removable: Clear aligners are removable. This means you can maintain your regular oral hygiene routine during treatment. You can brush and floss thoroughly to prevent cavities and the tooth discoloration often associated with metal braces. You also don’t have to limit your diet because you can remove the aligners to eat.
- Discreet: The clear aligners are custom-designed to fit snugly over teeth. The transparent material is barely visible to others. You can speak and carry on normal interactions without the fear of embarrassment.
- Comfortable: Clear aligners are designed to slowly and comfortably realign the teeth. Each set of aligners will shift teeth further into alignment. The material is smooth and doesn’t damage the lips, gums, or other soft oral tissues.
Invisalign is one of the most popular and effective ways to address both cosmetic and dental health concerns. We recommend Invisalign for teen and adult patients with mild to moderate orthodontic concerns. This treatment option is ideal for patients who can easily care for aligners and wear them consistently.
Invisalign® Clear Aligners

Dr. Jacob Grapevine is a Plano Invisalign® provider and offers this orthodontic treatment option to teens and adults. Dr. Grapevine is one of fewer than 1,000 dentists worldwide certified in Dentistry Optimal Model. He has also completed Dawson Academy Complete Care training. This gives him expertise in bite function, TMJ health, and comprehensive dental care that goes beyond basic tooth movement.
Exam
Every Invisalign case includes evaluation of your jaw position, TMJ health, and bite function—not just tooth alignment. After an initial consultation, Dr. Grapevine will use Invisalign® software to plan your treatment and address your concerns.
Impressions
Your procedure will begin when Dr. Grapevine takes digital impressions of your teeth. He sends these impressions to an Invisalign lab. The lab technicians will craft a series of invisible aligners from a durable plastic. Once your first sets of aligners are ready, you’ll return for your fitting.
Wearing the Aligners
Back in his office, Dr. Grapevine will ensure your first aligners fit well and he’ll provide you with your Invisalign case. Then he’ll give you instructions. He’ll tell you how to use the aligners and when to change them throughout your treatment. Dr. Grapevine will monitor your progress during scheduled visits.
Most patients will receive several sets of aligners. You wear each pair for about 2 weeks to gradually reposition the teeth. We recommend that you wear your aligners for 20 to 22 hours a day.
The length of treatment depends on your condition and your goals. The average treatment time is about six to twelve months, compared to braces, which often take a year or more.
How to Take Care of Your Invisalign Aligners
Your aligners can’t properly straighten your smile unless you care for them. If you damage your aligners, we need to make new ones, which will prolong your treatment time.
Aligners can also scratch and stain. When this happens, they no longer look transparent on your teeth. Dr. Grapevine recommends that you follow these top Invisalign care tips for the best treatment.
Clean the Aligners Daily
You want to keep your aligners clean. When you take them out of your mouth, rinse them off with cool or lukewarm water. Never use hot water to clean your aligners because it can warp the material.
Clean them thoroughly at least once daily. Use a soft toothbrush and nonabrasive toothpaste to gently brush your aligners. You can also use a mild antibacterial soap. We don’t recommend toothpaste because it can scratch your aligners.
Do a Deep Cleaning
Deep clean your aligners once a week. Use Invisalign cleaning crystals or denture tablets and water. Soak your aligners in this solution for a few minutes to sterilize them and remove any stubborn bacteria. They also remove stains or odors. Just like regular cleaning, rinse the aligners to remove leftover residue.
Eat and Drink Without Aligners
Don’t eat or drink anything except water when your aligners are in. The material isn’t designed to withstand the pressure of biting down or chewing food. It’s easy to damage or crack them. Foods and drinks with pigmentation or a high sugar content stain the aligners, so they lose the transparent quality they’re known for.
Keep Them in Their Case
Invisalign does require a level of responsibility. When you take them out to eat, you shouldn’t put them in a napkin where they can accidentally be thrown away. Put them in their case when you’re not wearing them. You’ll know where your aligners are, and they’ll stay safe from any damage.

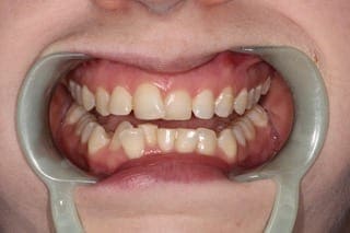
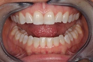
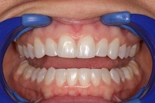
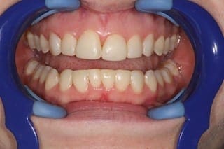
Real Patients, Real Results: See Your Smile Transform




Invisalign® FAQs
Do you have more questions for us? We can help. Read answers to common questions about Invisalign in Plano, TX.
How long do you have to wear Invisalign®?
Your treatment time will depend on these factors:
- The extent of your bite problem
- How you care for your aligners
- Yournumber of crooked teeth
Most patients complete Invisalign treatment well within three years. If you have slightly crooked teeth, you can complete treatment in as little as eight months. Dr. Grapevine will analyze your bite and give you an estimate of your total treatment time.
Can Invisalign® give you a lisp?
It can take a little time to adjust to wearing Invisalign clear aligners. While you’re getting used to them, you might notice slight changes in your speech, including a temporary lisp, along with mild discomfort. This adjustment period is normal and usually goes away as your mouth adapts to the aligners.
Do I still need to wear a retainer after Invisalign®?
Yes. Your teeth can shift out of place when you don’t use your retainer after braces or Invisalign treatment. You increase your risk of orthodontic relapse if you don’t wear your retainer every day.
Get a Straighter Smile Today
Do you want a comfortable alternative to metal braces? Call your Invisalign provider in Plano, TX, Dr. Grapevine, at (972) 449-5759. You can also request an appointment with him online. We’re proud to serve patients from Dallas, Allen, Richardson, and Frisco.
