Menu
New Patients Call
(972) 449-5759
Request Appointment
Our Office
Meet Dr. Grapevine
Meet Our Staff
Our Technology
Testimonials
Video Testimonials
Video Library
Patient Safety
Our Services
General Dentistry
Complete Dentistry
Children’s Dentistry
Dental Cleanings
Dental Fillings
Relaxation Methods
Healthy Dentistry
Cosmetic Dentistry
Lumineers
Porcelain Veneers
Cosmetic Bonding
Teeth Whitening
Invisalign®
Smile Makeover
Restorative Dentistry
Dental Bridges
Dental Crowns
Dentures & Partials
Night Guards
Periodontal Therapy
Implant Dentistry
Benefits of Dental Implants
Dental Implant FAQ
Cost of Dental Implants
Dental Implants vs Dentures
Implant Dentures
Multiple Dental Implants
All-On-Four
Dental Concerns
Black Triangles
Bleeding Gums
Cavities
Cosmetic Concerns
Crooked Teeth
Missing Teeth
Orthodontic Relapse
Gaps Between Teeth
TMJ Therapy
TMJ: Our Story
TMJ Therapy
Teeth Grinding
Frequent Headaches
Bioclear®
Cosmetic Dentistry
Halo Veneers
Lumineers
Porcelain Veneers
Cosmetic Bonding
Teeth Whitening
For Patients
First Visit
Patient Forms
Payment Options
Dental FAQs
Blog
Leave a Review
Smile Gallery
New Patients
(972) 449-5759
Current Patients
(972) 596-3702
Request Appointment
Leave a Review
Home
»
Smile Gallery
»
Case Studies
Case Studies
All
Porcelain Veneers
Black Triangles
Bioclear
Dental Implants
Dental Bonding
Zoom Teeth Whitening
Dental Crowns
Invisalign
To address her aesthetic concerns, Dr. Grapevine was able to use implants and crowns on this patient's upper and lower front teeth.
atient had a history of jaw surgery and braces for over 5 years and was congenitally missing 2 upper front teeth. To address uneven bite and esthetic concerns, Dr. Grapevine placed all PORCELAIN CROWNS on upper front teeth. By customizing the shape and size of the crowns to fit her esthetic desires and accomplish a long lasting result to hide the existing spaces.
Dr. Grapevine took two old crowns on the font of this patients teeth and replaced them with new natural looking CROWNS.
Dr. Grapevine helped this patient with spacing issues by using VENEERS.
Dr. Grapevine removed old, existing crowns with metal base on upper and lower front teeth and replaced them with new all PORCELAIN CROWNS for a natural look.
Dr. Grapevine used PORCELAIN CROWNS on top teeth and porcelain crowns on lower front teeth to restore esthetics and function. We adjusted his occlusal relationship to establish correct bite function and long term durability.
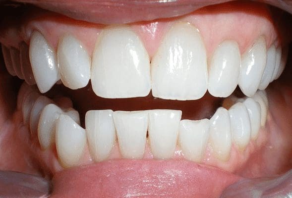
Patient's front teeth were aligned using SMART MOVES INVISIBLE BRACES over the course of three months. Minor contouring was performed to accomplish an even bite and Dr. Grapevine placed esthetic TOOTH COLORED BONDING on upper and lower front teeth to repair wear and establish even bite relationship.
This is a patient case where she was breaking her lower front teeth due to a heavy bite from crowns on top done by another dental office. We balanced the bite relationship and then placed bonding on the chipped lower front teeth. No anesthetic "shots" were needed and her smile was instantly transformed in 1 visit!